مصر فايف
مصر فايف
مصر
تعليم
اقتصاد
السعودية
خدمات
منوعات
رمضان
رياضة
تقنية
سيارات
ترددات
البحث عن:
صحة وجمال
كل التصنيفات:
أخبار العالم
أسرة
اقتصاد
السعودية
ترددات القنوات
تعليم
تكنولوجيا
خدمات
رمضان 2025
رياضة
سيارات
صحة وجمال
عروض وتخفيضات
فيديوهات
متابعات وتقارير
مصر
منوعات
وظائف خالية
صفحات:
عرض المزيد
« الصفحة السابقة
1
…
38
39
40
41
42
…
104
التالي »
خمس حيل هامة لفقدان الوزن والتخلص من الدهون للمبتدئين في الرجيم
فوائد الزعتر الصحية واستخداماته وآثاره الجانبية
فوائد الكيوي لا تحصى.. يمنع تجلط الدم وتلف الكبد والإمساك وغيرها الكثير
الأسباب المرضية لكثرة التعرق.. وهذه طرق علاجها
فوائد السمسم للجسم.. مزايا مدهشة تعرفها لأول مرة
في موسمها.. اكتشف فوائد ورق الجوافة المتعددة منها الكحة والتخسيس
أسباب فقر الدم وطرق علاجه وأهم النصائح لرفع نسبة الحديد في الدم
روتين يومي لمعرفة كيفية الاعتناء بالشعر
خطوات تساعدك على البقاء هادئًا وسعيدًا عندما لا تكون الأمور بخير
هل تعلم ماذا يحدث لك عند اكل الموز يومياً على الريق ؟ فوائد الموز للجسم هذا ما سوف يحدث لجسمك
علاج الشعر التالف.. تعرفي على أهم الطرق والخلطات الطبيعية
فوائد الخيار للجسم | كم عدد الخيار المسموح به وفوائد الخيار للعين والقولون والتخسيس
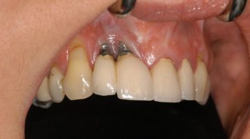
مشاكل زراعة الأسنان ومضاعفاتها الخطيرة التي قد تفقدك الأسنان المزروعة
ما هي فوائد زبدة الفول السوداني الصحية وأضرارها؟
فوائد الجبن القريش.. للعظام والجهاز الهضمي والقلب والأوعية الدموية وإنقاص الوزن
طرق بسيطة للتخلص من الاكتئاب وإعادة مسار حياتك
منها زيادة وزن الجنين.. فوائد الحلاوة الطحينية للحامل
أفضل وأسوأ أنواع الأسماك على صحتك “من سمك السلمون إلى سمك القرش”
فوائد القرنفل الطبية والعلاجية وما ينبغي عليك معرفته
علاج الهبات الساخنة في سن اليأس بالأدوية والأعشاب الطبية
حافظ على نفسك من المخاطر.. أهم فوائد زيت الزيتون لجسم الإنسان
تجربتي عن فوائد عشبة المدينة للنساء وأضرارها وكيفية استخدامها
اختاري بين وصفات لتنظيف البشرة وتبيضها للتخلص من التصبغات
خبير عالمي يفتح أبواب الأمل للعالم .. بشأن فيروس كورونا «فيديو»
صفحات:
عرض المزيد
« الصفحة السابقة
1
…
38
39
40
41
42
…
104
التالي »
روابط هامة
شرح استخدام الموقع
قوانين الموقع
قواعد المراجعة للمحررين
شرح استخدام Spell Check
نصائح للأرشفة في أخبار جوجل
مشاركة أرباح أدسنس
شرح استخدام مشاركة أرباح أدسنس
شرح استخدام Google Analytics
جروب مصر فايف على الفيس بوك
صفحة مصر فايف على الفيس بوك
قواعد النشر على صفحة مصر مصر فايف على فيس بوك
الاتصال بنا
روابط هامة
شرح استخدام الموقع
قوانين الموقع
قواعد المراجعة للمحررين
شرح استخدام Spell Check
نصائح للأرشفة في أخبار جوجل
مشاركة أرباح أدسنس
شرح استخدام مشاركة أرباح أدسنس
شرح استخدام Google Analytics
جروب مصر فايف على الفيس بوك
صفحة مصر فايف على الفيس بوك
قواعد النشر على صفحة مصر مصر فايف على فيس بوك
الاتصال بنا
البحث عن: